病例视频
相关文章
成年人突发剧烈头痛需警惕动脉瘤
2018-01-24 14:07 作者:三博脑科医院

在日常生活中,我们可能会听说某某的同事工作中突发脑出血住院。这是一类神经外科疾病的统称。自发性脑出血的常见原因有:高血压脑出血,动脉瘤,烟雾病,脑血管畸形等。其中,以动脉瘤导致的脑出血(实际上原发出血部位在蛛网膜下腔)头痛为剧烈,风险相对也比较大。成年人如果出现突发剧烈头痛,应警惕颅内动脉瘤破裂。
对于颅内动脉瘤导致的蛛网膜下腔出血(subarachnoid haemorrhage,SAH),仅仅保守治疗是不够的。初次SAH的死亡率在20%左右,而在初次SAH发生后的2周左右,可能会发生第二次出血。二次SAH的死亡率已经高达50%。因此,抓住初次SAH后有限的时间进行治疗是非常重要且迫切之事。

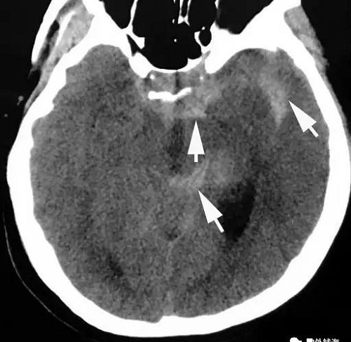
上图为一例43岁女性患者,突发剧烈头痛2天。在当地医院行头颅CT检查可见蛛网膜下腔出血,如箭头所示。

患者转入北京某医院进行了脑血管造影(DSA)检查,发现右侧颈内动脉后交通段动脉瘤,如箭头所示。
患者后来经人介绍急诊转入我院。因检查基本确定了动脉瘤诊断,我们在进行了CTA复查后立即手术夹闭了动脉瘤,下面2幅图为手术示意图(摘自Duke S. Samson所著的Intracranial Aneurysm Surgery),示意图为右侧颈内动脉后交通段动脉瘤,与本病例为镜像关系。
下面2幅为术中照片:



可见动脉瘤位于颈内动脉后交通段(C7),宽颈,呈红色血泡状向颞叶突出,压迫左侧动眼神经。图中C6为颈内动脉眼动脉段末端,可见此处血管壁呈黄色,为动脉粥样硬化所致。

上图为以一枚动脉瘤夹夹闭动脉瘤瘤颈之后,动脉瘤消失,周围结构保护良好。

上图为术中荧光造影,可见原动脉瘤位置无造影剂充盈,证明夹闭彻底。其他血管通畅良好,无狭窄发生。
患者术后恢复顺利,大约10天康复出院。
此患者是一个典型的由于颅内动脉瘤破裂引起蛛网膜下腔出血的病例。对于此种病例,及时的手术或者介入治疗是非常必要的,可以防止动脉瘤再次破裂,挽救患者生命。(文源:微信公众号“神外钱海”)。


豫公网安备41010202003260号