病例视频
相关文章
-
38年病史的癫痫患者致三博脑科的一封感谢信 道出浓浓医患情
医者仁心,对于医务工作者来说,最欣慰的事莫过于自己的工作得到患者的认可。日前,首都医科大学三博脑科医院2022-01-12
-
脑面血管瘤合并癫痫 外科手术疗效显著
文源:健康报( 2022年1月12日版7 ) 脑面血管瘤病(SWS)是一种罕见的先天性神经皮肤综合征。SWS患者典型的临床表现2022-01-12
-
海绵状血管瘤继发癫痫20年 三博脑科精准外科为古稀老人彻底止“抽”
20年来,只要情绪激动总会容易出现“双手摸索衣角”“断片儿”。最近又连发几次“羊角疯”的吴阿姨被家人紧急送2021-12-21
-
三博脑科医院:癫痫的治疗像是一场“对抗赛”
“与普通人群相比,癫痫患者的过早死亡风险显著增加,同时癫痫患者更有可能患有其他身体或精神方面的疾病,如2021-09-10
-
癫痫关爱日丨癫痫是不治之症?这些治疗方法很有效!
2021-07-09
三博癫痫中心应用ROSA二代机器人开展脑深部电极置入术 致痫灶精准度达0.5毫米
2020-04-21 09:40 作者:医助小雨
4 月 17 日,首都医科大学三博脑科医院癫痫中心栾国明教授、关宇光主任成功应用ROSA 二代机器人-ROSA ONE开展深部脑电极置入术,完成对癫痫灶的精准定位,多根电极准确性在0.5mm左右。术后患者反应小,无疼痛、恶心等不适,癫痫放电起始点已经精准确定。

癫痫患者中约70%可以通过药物治疗得到控制或发作减少,但有30%左右的患者药物治疗无效,也被称为药物难治性癫痫。该手术患者有发作性抽搐4年的病史,经过2年正规抗癫痫药物治疗后无明显改善,而且每个月发作次数2次以上,属于药物难治性癫痫。外科手术切除引发癫痫的致痫灶,是治疗药物难治性癫痫有效的治疗手段。
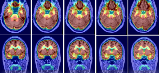
但癫痫病灶的精准定位是取得良好手术的关键,即能否精准找到致痫灶,在很大程度上决定着手术效果。该患者发作前有明确先兆,恐惧,似曾相识,发作表现为愣神,自动症,是较典型的复杂部分性发作,结合脑电图、脑磁图右颞放电,PET-MRI 融合图像显示右颞极海马轻度代谢减低,考虑颞叶癫痫,右颞致痫起源可能性大。但患者 MRI 阴性,没有发现明确病变,三博癫痫中心多学科会诊后,建议患者进一步行颅内电极置入以***定位癫痫放电起始区。

脑电图 发作期,临床:全身动作中止, EEG:发作型,脑区性,右颞著

脑磁图:监测期间发作期间可见少量癫痫样放电,定位于右侧颞叶

PET:右侧颞极海马葡萄糖代谢稍低于左侧

磁共振 MRI 扫描未发现特殊异常
应用立体定向脑电图技术向颅内置入电极,可将电极直接置于脑深部结构,直接与放电点接触,清晰显示大脑放电的细微变化过程,准确定位致痫灶。立体定向脑电图定位癫痫灶的开创性手术在2011年9月由栾国明教授团队于三博脑科医院应用框架完成,并于 2012年3月引入ROSA 机器人用于开展立体定向脑电图定位致痫灶,该技术开创了我国立体脑电图技术的先河,成为新一代癫痫外科定位的金标准。
据首都医科大学三博脑科医院癫痫中心外科主任关宇光介绍,ROSA 机器人立体定向电极定位癫痫灶有四大优势:微创、***、高效、定位***。不用开颅,也没有手术切口,只需头皮和颅骨钻2mm微孔;不刺激脑组织,不损伤血管与神经;用时短,置入1根电极仅需3-5分钟;定位准确性可达1mm。
此次应用的二代 ROSA 机器人在一代基础上,重复定位精度提高了50%,激光注册方式的定位精度在 1mm 以内,骨性标志注册方式的定位精度小于 0.4mm,可以满足包括脑起搏器手术(DBS)在内的所有神经外科技术需求。同时机械臂的活动范围增加了近30cm,各个关节灵活性都有了明显提高。更高的***度和灵活性可以更好的进行多角度的探测及更***的定位。
该手术患者麻醉后,医生应用ROSA 二代机器人-ROSA ONE向其右侧颞叶、岛叶等位置置入8根电极,手术用时1个小时顺利结束。电极置入后融合图,显示准确精度 0.5mm 以内,患者术后 1 小时完全清醒,没有不适感觉。术后24 小时内捕捉到一次临床发作,发作放电位置清楚,已精准定位癫痫放电起始点。
电极置入后融合图,显示准确精度 0.5mm 以内,患者术后 1 小时完全清醒, 无任何不适感觉
据了解,目前首都医科大学三博脑科医院癫痫中心已应用ROSA机器人完成520余例次药物难治性癫痫立体定向脑深部电极植入手术及术后脑深部电极脑电图监测,儿童电极置入年龄小为1岁,6岁以下低龄儿童手术比例20%,所有手术无严重并发症。


豫公网安备41010202003260号