病例视频
相关文章
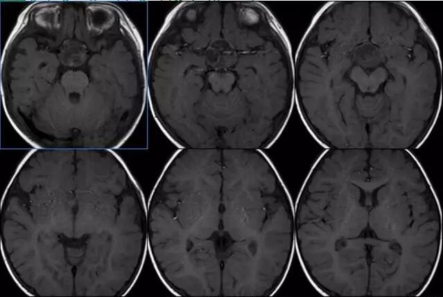
9个月大的颅咽管瘤患儿
2018-06-07 14:22 作者:三博脑科医院












病理诊断:颅咽管瘤
超过60%的诊断正确。
垂体瘤:本病例是特婴儿病人,病人9个多月大,累及鞍内鞍上,CT扫描病变底部边缘可见钙化影。
病变累及鞍内,垂体信号显示不清,与垂体瘤有些相似。然而垂体瘤一般发生于20岁以上成人,几乎不发生与婴幼儿和青少年。这个病人基本不考虑垂体瘤。
颅咽管瘤:多发生于鞍上,也可累及鞍内。婴幼儿和儿童病例较容易列举鞍内。病变常常出现钙化,本病例也符合,应首先考虑颅咽管瘤。
畸胎瘤:病变常出现钙化和脂肪信号。CT扫描似乎可见低密度区,但T1WI未见脂肪高信号,可除外病变内脂肪信号。病变钙化特点虽然更分会颅咽管瘤,但也不能完全除外畸胎瘤,可以在第二位考虑。
星形细胞瘤:通常为长T1长T2信号影,钙化很少,也可不考虑。
生殖细胞瘤:病人通常以多以多尿起病,病变通常有弥散受限。与本病例也不一致,故不考虑。


豫公网安备41010202003260号