病例视频
相关文章
血液倒流,刘先生遭遇罕见怪病!
2019-01-10 10:28 作者:三博脑科医院
供稿|重庆三博长安医院
导读:说起这个怪病,刘先生既后怕又高兴,后怕的是疾病反复发作险酿大祸,高兴的是这次在重庆三博长安医院得到治愈。
刘先生的身体一直健康强壮,生活美满。但自从一年前患上一个怪病后,他的生活就变得一团糟。
一年前,刘先生说话时说着说着就吐词不清,不知所云,但过一阵就好了,走路走着走着就右手右脚没得力,但休息休息又好了,一阵一阵的头脑发昏,严重时晕厥,短暂性的意识丧失,反复发作。
刘先生在家人的陪同下到某医院就诊,CT诊断为脑梗死,治疗后好转出院。但是过一段时间又发作,这让刘先生的家人高度重视,遂到多家医院就诊,但诊断都是脑梗死,治疗后还是反复发作,并且越来越重,到后来就变成持续右侧肢体乏力,走路非常困难,说话也越来越不清楚。就在全家人焦灼不安时,朋友推荐了重庆三博脑科,刘先生来到三博江陵医院就诊,经验丰富的王薇副主任医师细心的检测了刘先生双上肢血压,发现右上肢血压很高,左上肢血压偏低,进一步彩超检查时发现刘先生左侧椎动脉血液流动方向是倒着流的,即血液从大脑方向向左手方向回流,这是怎么回事?颈部血管问题?邓杉杉主任和王薇副主任医师讨论后,决定将刘先生转送至重庆三博长安医院脑血管病中心做DSA检查治疗。
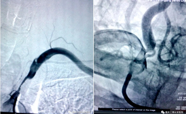
在重庆三博长安医院脑血管病中心,神经内科团队接诊了这位特殊病人,韩显文主任立即组织神经介入团队刘庆林主治医师、栾建芳主治医师、郑敬帮医师等做了详细的病例讨论,决定为刘先生做头颈部血管DSA造影检查。

在DSA造影检查中发现,刘先生为左手提供血液供应的左锁骨下动脉起始部严重狭窄,几乎闭塞,致左侧上肢血液无法供给。左锁骨下动脉有一个分支,叫左侧椎动脉,该动脉向大脑供血,也无法正常供血。同时还发现刘先生右侧椎动脉起始部也严重狭窄,右侧椎动脉血液从主动脉弓缓缓流向大脑,血液在即将进入大脑的时候,部分血液调了个头,转弯经左侧椎动脉反向流向左手,导致大脑供血严重不足。刘先生血液倒流的原因找到,脑梗反复发作,并且越来越重的原因找到。

如果刘先生的右侧椎动脉一旦闭塞,就会立马致命,怎么办?
经三博长安医院神经内科团队集体讨论,介入团队在DSA室为刘先生行了左锁骨下动脉球囊扩张术、支架植入术,右侧椎动脉支架植入术,DSA显示左侧椎动脉血流立即调头流向大脑,右侧椎动脉血也恢复正常。

经过介入治疗,刘先生说话从此流利不打结,不晕厥,右侧肢体力量有很大改善,虽然左侧肢体力量还差一点,但已经走路无忧,活动自如。仅仅住院11天,一年多来缠绕他和家人的怪病彻底消除,刘先生康复出院。
刘先生送来锦旗
2019年1月1日,一大早就拿着早就做好的锦旗和家属在神经内科门口等候,医生一到科室,家属就高高地双手举起锦旗,深深的一鞠躬,热泪盈眶:“感谢医生们为我家大哥解决了长期以来的疑难病!”。
正如锦旗上写的那样,爱心贻健康,良方除顽疾,重庆三博长安医院会一直秉承高端技术服务普通大众的理念,让更多的病人得到更好的服务!


豫公网安备41010202003260号