病例视频
相关文章
-
脑肿瘤患儿进京求医记:立体定向活检术减少开颅之忧
本文转自腾讯新闻 这是两岁霖霖在外求医治疗的第100天。 立体定向活检手术后,妈妈李萍一直在焦急等待病理结果。2020-07-27
-
2018年脑转移癌病例分析
近年来随着诊断水平的提升和治疗方法的进步,全身恶性肿瘤患者的生存时间不断延长,随之而来的就是全身恶性肿2019-01-17
-
老了就糊涂、记性差是正常现象?当心脑瘤!
…… 上述对话发生在首都医科大学三博脑科医院医生、患者和家属之间。日常生活中,中老年人出现记忆力减退、健2018-12-25
-
【垂体瘤/垂体代偿性增生】真肿瘤?假肿瘤?火眼金睛来辨别
光阴的故事 这是一个”知恩感恩”的故事,十四年的光阴流逝,把当年的小女孩儿变成了现在的大姑娘,可那份感恩2018-11-02
-
女生爆涨70斤 原来是大脑里长了这个东西
肥胖不仅影响到外貌美观,还有很多危害,对身体健康极为不利。有调查显示中国的肥胖人口位居世界首位,拥有42018-10-24
脑肿瘤术后24小时打嗝不停 这个锅该医生背吗?
2018-07-31 16:25 作者:三博脑科医院
打嗝,通常认为是人吃饱饭后的正常生理现象,大多不会特别在意。可是您听过人做完手术后不停打嗝的吗?这种情况是手术引起的吗?
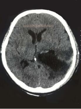
近日,60岁的老刘因为颅内占位性病变(左侧脑室脑膜瘤)来到首都医科大学三博脑科医院神经外科六病区接受手术治疗。手术由闫长祥教授、刘宁副主任医师团队成员完成,巨大的颅内肿瘤被成功摘除,术后患者意识、神志清醒,对答如流,四肢肌力正常。

术前头颅CT影像,红圆圈标注即为脑膜瘤,直径有5厘米。

术后头颅CT影像显示脑膜瘤被切除
患者和家属本来非常高兴,困扰多年的疾病终于消除。可是术后第二天起,问题来了:老刘开始打嗝,起初家属以为是吃得过饱,消化不良导致,便帮老刘揉肚子,或者扶下床溜达,但是嗝不仅没停,反而越打越频繁,走路、说话、吃饭甚至睡觉时都会止不住地“嗝嗝嗝”,如此状态持续了7、8天,所有对付打嗝的方法均无法奏效后,老刘和家属慌了——手术成功切除了肿瘤,术后也没有出现口斜眼歪、四肢瘫痪的并发症,应该是皆大欢喜的事情,可是半路杀出的打嗝还是让他们措手不及,虽说不致命,但长期不停地打下去,还是会影响正常生活。
“医生,打嗝是手术引起的吗?不会是这个病治好了又得了另一个不治之症吧?”面对患者和家属的询问,首都医科大学三博脑科医院神经外科六病区副主任医师刘宁介绍道,医学上称打嗝为“呃逆”,呃逆的产生主要与“呃逆反射”有关,当迷走神经和大脑因各种原因受到损害和刺激时,神经冲动会沿着迷走神经传至分布于中脑、脑干和近段脊髓的呃逆中枢。中枢激动后,冲动沿着膈神经下传膈肌和其他呼吸肌,产生重复性痉挛性的肌肉收缩。随即冲动到达喉返神经,支配声门肌肉,产生特征性的呃逆动作。
通俗解释即,我们的躯干分成两个部分,上部分叫“胸腔”,下半部分叫“腹腔”,把躯干分成这两部分的组织就叫“膈肌”。而打嗝就像一个锅盖(膈肌)上拴着两根绳子,一根叫“迷走神经”,一根叫“膈神经”,这两根神经,无论哪一根受到刺激,都会牵拉锅盖,造成锅盖的上下运动(膈肌收缩),从而像风箱一样让气体从呼吸道吸入与排出,这就是“打嗝”。

刘宁表示,打嗝是脑肿瘤术后病人的常见症状,通常有以下三种原因——,开颅手术后大脑皮层的兴奋性包括神经的兴奋性会在短期内激惹膈肌,引起打嗝;第二,有些病人对麻药反映比较敏感,麻药导致打嗝的现象也较为常见;第三,有些患者膈肌容易痉挛,空调环境、吃冷饮或凉食等都容易激惹膈肌,导致打嗝。
那么,术后打嗝多长时间会好转?有没有什么办法可以停止打嗝呢?刘宁说,术后膈肌痉挛导致的打嗝都是短期的,短则几个小时,长则几天即可自行缓解消除,对于频发且持续时间较长的膈肌痉挛,可用热毛巾湿敷小肚子、掐虎口、口服或注射含有山莨菪碱成分的药物、中医办法如足三里打胃复安或利多卡因等都可缓解打嗝。
据了解,老刘在术后第10天时打嗝现象自然消失,近期将顺利康复出院。
文/孔令栓 尚尚


豫公网安备41010202003260号