科室介绍 ABOUT
神经外科颅脑创伤病区是以收治颅脑创伤及相关疾病为主的专业化病区,主要承担危重、复杂、疑难颅脑创伤患者的救治任务,包括对重型颅脑损伤、大面积脑梗死的急救,对脑积水、颅骨缺损、硬膜下血肿等开展个体化、精细化的手术及对神经重症病人和昏迷病人的综合治疗等。
MORE科室专家 DOCTORS
更多科室特色 FEATURE
-
20年,5000余例手术
曾被80余家医院邀请指导工作
-
超微创技术,手术适应证广
弥补了传统开放式手术的不足
-
与外科手术互补,有机结合
提高手术安全性
-
分型分阶段个体化治疗
为患者量身定制佳治疗方案
-
匠人是用自己的理念、执行力去雕刻每一件作品,力求使它们都成为传世之作,而神经介入科医生,每一台手术都像是在雕刻一件精细的“艺术品”,刘加春主任师从我国神经介入医学的开拓者凌锋教授,从业20年累计完成脑与脊髓血管疾病的介入治疗5000余例次。由于其神经介入技术精湛,曾被国内80余家医院邀请指导神经介入工作或完成高难度神经介入手术。MORE -
与传统开放式手术相比,神经介入技术避免了开颅手术带来的组织创伤,术后恢复快,并发症少,手术时仅需1-2mm创口就可,手术入路处隐蔽,体表不会留下难看的瘢痕影响美观。并且神经介入技术适应症广泛,脑血管疾病老年人多见,如脑血栓形成的高峰年龄在65岁左右,而且常伴有其他疾病,如高血压、糖尿病、心脏病、高血脂等,患者耐受性差,包括身体条件和心理因素。神经介入手术操作创伤小、时间短,对病人而言损伤轻,痛苦小,危险低。同样,对不宜进行开放式手术的儿童患者,神经介入治疗也是极佳的选择。MORE -
神经介入技术是一种新兴的微创临床技术,为许多脑与脊髓血管疾病开辟了新的思路和治疗途径。既可以独立解决许多脑血管疾病,又可以和传统的开放手术、放射治疗等巧妙结合,使原来无法或难以治疗的疾病得到满意疗效。比如:大的脑动静脉畸形,直接手术切除创伤大、出血多、危险高,可以先部分栓塞,缩小体积,控制血流量,手术全切就有把握。再如,颅内富血运肿瘤,术中出血不好控制,常常无法切除或不能全切,采用术前栓塞后就会大大提高和安全性。近年来,复合手术(也称杂交手术)在血管疾病的治疗中很受推崇,就是将神经介入与开放手术有机结合的结果。MORE -
神经介入疗法打破传统外科手术弊端,以其精确的诊断,非凡的疗效,完美的预后备受推崇。以“精确治疗、有效治疗、安全治疗”为核心理念,在对患者的治疗方案制定时,科室以个体化、经济化、微创化、综合化为原则,根据患者的不同情况,分阶段、分类型,对每一位患者量身定制适合的个性化治疗方案。术前科室反复进行技术论证,为患者做到准确评估,实现手术风险全覆盖,制定全面详细的手术风险预案,确保治疗的安全性及有效性。目前,三博神经介入科接诊年龄小的患者为4个半月的婴儿。MORE
中心特色 NEWS
-
2018-04-28
与外科手术相结合,提高手术
神经介入手术可以与外科手术互补,有机结合。比如:大的脑动静脉畸形,直接手术切除创伤大、出血多、危险高,可以先部分栓塞,缩小体积,控制血流量,手术全切就有把握。再如,颅内富血运肿瘤,术中出血不好控制,常常无法切除或不能全切,采用术前栓塞后就会大大提高和安全性。近年来,复合手术(也称杂交手术)在血管疾病的治疗中很受推崇,就是将神经介入与开放手术有机结合的结果。
2018-04-28
血管内经途,不因病变位置受限
神经介入手术操作创伤小、时间短,对病人而言损伤轻,痛苦小,危险低;那些因合并症多不能耐受开放手术或全麻的患者,是一个好的选择。由于介入手术采用血管内途径,避免了因病变部位带来的手术限制,如:高位或很低位的颈动脉狭窄,手术难以暴露,介入就可以轻松实施;颅内多发动脉瘤,尤其是侧别不同时,介入治疗可以一次完成;脑深部或重要功能区的血管病变,如丘脑、脑干的动静脉畸形,手术常很难或无法实施,介入手术常可以完成治疗。
2018-04-28
手术创口小,术后不留疤痕
神经介入技术避免了开颅手术带来的组织创伤,术后恢复快,并发症少,所以容易被患者接收;美国卒中协会和心脏病协会2012年的指南中,明确将既适合于开颅手术,有适合于介入治疗的破裂动脉瘤推荐介入手术,就是对其这一优点的肯定。神经介入手术多采用股动脉途径,手术时仅需1-2mm创口就可,手术入路处隐蔽,体表不会留下难看的疤痕影响美观。
MORE2018-04-28
手术时间短,急性脑血栓方法
神经介入手术在紧急情况下可以快速实施,如急性脑血栓的介入治疗。完成股动脉穿刺,并将导管插至病变血管,常可以在数分钟或十余分钟内完成,但要开颅解决是绝对不可能的。这样可以在
特色诊疗 NEWS
-
2018-03-16
支架结合弹簧圈技术,治疗宽颈动脉瘤
首先要搞清楚什么是支架。支架实际上是一个金属丝编织的筒,可以借用特制的输送系统送入血管内,贴附在血管内壁上。下图显示波士顿公司生产的Neuroform颅内血管专用支架的放大照片。 支
2018-03-16
介入栓塞治疗动脉瘤
颅内动脉瘤介入栓塞治疗的常规过程如下:右侧股动脉穿刺,置入导引导管(粗导管),将导引导管送入载瘤动脉(生长动脉瘤的脑动脉)内。将一根微导管(细导管,头端比缝纫线粗不了多少)经导
MORE2018-03-16
球囊再塑形技术
球囊再塑形技术适用于宽颈动脉瘤。将封堵球囊系统放置在动脉瘤开口处,将微导管插入动脉瘤腔内。充盈球囊封闭瘤开口,经微导管送入弹簧圈填塞瘤腔,排空球囊,若弹簧圈稳定即解脱之
媒体报道 NEWS
-
2018-01-19
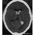
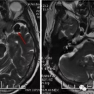
脑动静脉畸形合并动脉瘤多家医院无从“下手”,三博介入专家为其除
病史简介: 患者女性,以“脑动静脉畸形伽马刀术后11年,再次脑室出血1月余”入院。11年前因脑室出血检查发现动静脉畸形,行伽马刀治疗,恢复至日常生活自理,1月余前再次出现脑室出血
2018-01-19
8岁儿童患巨大脑动脉瘤,介入治疗为其找回快乐童年
颅内段椎动脉夹层动脉瘤发病率低,约1/10万,多见于成年人及老年人,40-50岁见;儿童患者罕见。发病可表现为蛛网膜下腔出血或脑缺血等,体积巨大的可因占位效应发病。一旦出血常导致
2018-01-19
Y型支架辅助栓塞颅内多发分叉部宽颈动脉瘤1例
颅内宽颈动脉瘤是血管内治疗的难题之一,多需要应用球囊辅助、支架辅助或双微导管等技术,而位于分叉部的宽颈动脉瘤由于累及多个分支更增加了治疗的难度。颅内分叉部宽颈动脉瘤常见
MORE2017-02-06
微创介入技术颅内“拆弹”
患者女性,以“脑动静脉畸形伽马刀术后11年,再次脑室出血1月余”入院。11年前因脑室出血检查发现动静脉畸形,行伽马刀治疗,恢复至日常生活自理,1月余前再次出现脑室出血,行CTA及D
科室动态 NEWS
-
2018-03-16
缺血性脑血管病的介入治疗
颅外段颈动脉狭窄是一类常见病,是导致缺血性脑卒中的常见病因。 颅内动脉粥样硬化性狭窄引起缺血性脑卒中事件的病理生理机制远较颅外复杂,包括灌注失代偿、不稳定斑块的血栓形成或
2018-03-16
硬脑膜动静脉瘘的介入治疗
硬脑膜动静脉瘘的病因和发病机制仍不清楚,可能与雌激素水平变化和静脉窦的炎症或血栓有关。对硬脑膜动静脉瘘的研究重点主要集中在静脉引流的方式上,不少国外学者提出了新的分型。
2018-03-16
介入治疗脑动静脉畸形
氰丙烯酸正丁酯(N-butyl-2-cyanoacrylate,NBCA)做为粘附性液体栓塞材料的代表用于介入治疗脑动静脉畸形已有十多年时间。神经介入医生在这方面积累了大量经验,使脑动静脉畸形经栓塞后流量降低
MORE2018-03-16
颅内动脉瘤的介入治疗
颅内动脉瘤介入治疗始于二十世纪七十年代初。早期,介入治疗仅适用于动脉瘤形态和部位不适合手术夹闭或临床状态较差的患者。随着导管技术和栓塞材料的不断改进,介入技术逐渐成熟,


豫公网安备41010202003260号